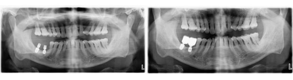
右下两颗后牙种植修复
当前所在位置: 首页 » 博美案例 » 右下两颗后牙种植修复

右下两颗后牙种植修复

浏览数量: 15     作者: 本站编辑     发布时间: 2018-04-26      来源: 本站

["wechat","weibo","qzone","douban","email"]

患者右下两颗后牙种植修复

扫一扫,关注公众平台
版权© 新乡市红旗区博美口腔门诊部有限公司   豫ICP备2022018989号-1    技术支持:河南恒之源网络技术有限公司
免责声明:本网站上所有资料,内容均由网站所有人提供,与网站制作单位无关,网站制作单位不承担任何形式的责任。